


마이코플라스마 폐렴(Mycoplasma pneumonia)은 마이코플라스마균(특히 M. pneumoniae)에 의해 발생하는 폐렴으로, 주로 5~20세 소아·청소년에게 흔히 발생하지만 성인에서도 나타날 수 있습니다. ‘걸어 다니는 폐렴(walking pneumonia)’이라고 불릴 만큼 증상이 비교적 경미해 일상생활을 이어가는 경우도 많습니다.
마이코플라스마 폐렴 주요 증상



- 3~7일 이상 지속되는 마른 기침(심한 경우 수주간 계속됨)
- 발열(38~39℃), 오한
- 두통, 인후통, 근육통, 피로감
- 흉통, 숨가쁨(심할 경우)
- 드물게 발진, 귀통증 등 다양한 증상 동반 가능
초기에는 감기와 비슷하게 시작해 증상이 길어지고 심해집니다.
마이코플라스마 폐렴 전염성



환자의 기침·재채기에서 나온 비말을 통해 전파되며, 잠복기는 **1~4주**로 길고, 학교·직장 등에서 집단 유행하기 쉽습니다.
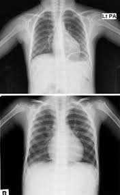
마이코플라스마 폐렴 진단



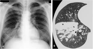
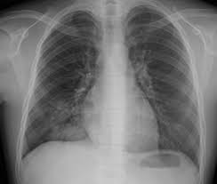
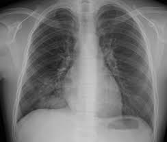
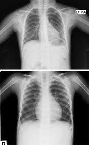
- 흉부 X-ray: 기관지 주위 침윤, 폐렴 소견
- 혈액검사: 마이코플라스마 항체(MP-IgM) 양성 여부
- PCR 검사: 최근 빠르고 정확한 진단 가능
마이코플라스마 폐렴 치료



마이코플라스마는 세포벽이 없어 페니실린계 항생제가 효과가 없고, 마크롤라이드계(클라리스로마이신, 아지스로마이신 등), 테트라사이클린계, 퀴놀론계 항생제를 사용합니다.
항생제 복용은 증상 호전 후에도 처방 기간을 지켜 복용해야 재발을 방지할 수 있습니다.
마이코플라스마 폐렴 관리와 회복



- 수분 섭취 충분히 하고, 휴식 필수
- 기침 예절(마스크 착용, 옷소매로 입 가리기)로 2차 전파 차단
- 가래 배출 도움을 위해 가습, 따뜻한 음료 권장
마이코플라스마 폐렴 예방



예방접종은 없으나, 손씻기, 개인위생, 마스크 착용 등 기본적인 호흡기 감염 예방법이 중요합니다.
마이코플라스마 폐렴 Q&A



Q1. 마이코플라스마 폐렴은 독감보다 심한가요?
A. 대부분 독감보다 증상이 약하나, 폐렴으로 진행되면 심할 수 있어 어린이·노약자는 특히 주의가 필요합니다.
Q2. 폐렴구균 백신으로 예방 가능한가요?
A. 폐렴구균 백신은 마이코플라스마균에는 효과가 없어 예방에는 도움이 되지 않습니다.
결론: 마이코플라스마 폐렴, 초기에 진단하고 치료하세요!



마이코플라스마 폐렴은 전염성이 높고 증상이 오래갈 수 있어 기침, 발열이 1주 이상 지속되면 병원에 방문해 정확한 진단과 적절한 항생제 치료를 받는 것이 중요합니다.
마이코플라스마 폐렴, 증상 지속되면 전문의 상담을 받으세요!