반응형



잇몸이 붓고 아플 때 당황스럽고 일상생활에 큰 불편을 주지요. 음식을 먹기 힘들고, 심하면 열이 나거나 얼굴까지 붓기도 합니다. 잇몸 통증은 구강 위생 문제부터 전신 건강까지 다양한 원인으로 발생할 수 있어 정확한 대처가 필요합니다. 오늘은 잇몸 붓기와 통증의 원인, 응급처치, 자연치료 방법, 병원 진료가 필요한 경우까지 한 번에 정리해드립니다.
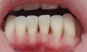
📌 잇몸 붓고 아픈 주요 원인



- 치은염(잇몸염증): 치석, 치태로 인한 세균 감염
- 치주염(잇몸뼈 염증): 잇몸염증이 심해져 잇몸뼈까지 손상
- 사랑니 주위염: 사랑니 주변에 음식물·세균이 쌓여 염증 유발
- 치아우식(충치): 깊은 충치가 신경과 잇몸까지 침범할 때
- 교정 중 잇몸 자극: 치아 이동 과정에서 잇몸에 자극 발생
- 면역 저하: 피로나 스트레스, 당뇨 등으로 면역력이 떨어진 경우
✅ 잇몸 붓고 아플 때 응급처치 방법



- 칫솔질을 부드럽게 하되, 통증 부위를 자극하지 않기
- 구강세정제(항균성 가글)로 세균을 최소화하기
- 얼음찜질로 붓기와 통증을 완화하기
- 진통제(이부프로펜, 아세트아미노펜 등)를 복용하되, 장기간 사용은 피하기
- 뜨겁거나 단단한 음식은 피하고 부드러운 음식 섭취하기
🍃 잇몸 자연치료를 위한 생활습관



- 염증이 가라앉을 때까지 금주·금연
- 자극적인 음식(매운 음식, 단 음료) 삼가기
- 칫솔질과 치실로 치태 관리 철저히 하기
- 구강 보습제 사용으로 입안 건조 예방
- 비타민C·칼슘이 풍부한 과일, 채소 섭취로 잇몸 면역력 강화
🩺 병원 치료가 필요한 경우



- 붓기가 점점 심해지고 열이 나거나 얼굴까지 부을 때
- 고름이 나오는 경우(농양 형성)
- 통증으로 식사, 대화가 어려울 정도로 일상생활에 지장이 있을 때
- 잇몸 출혈이 반복되거나 잇몸이 움푹 패이기 시작할 때
- 1주일 이상 자가관리에도 증상이 지속될 때
📋 잇몸 통증과 관련된 질환 구분
| 질환 | 특징 | 필요한 치료 |
|---|---|---|
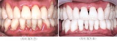
| 치은염 | 잇몸 붉어짐, 출혈 동반 | 스케일링, 위생관리 |
| 치주염 | 잇몸이 내려앉고 치아 흔들림 | 치주치료, 잇몸수술 |
| 치근단농양 | 심한 통증, 고름 형성 | 근관치료(신경치료), 발치 필요할 수 있음 |
| 사랑니 주위염 | 사랑니 부위 붓고 통증 | 항생제, 필요 시 사랑니 발치 |
💧 구강 청결 관리 팁



- 부드러운 칫솔과 치간칫솔, 치실을 병행해 치태 제거
- 항균성 가글(클로르헥시딘 등)은 1~2주 이내로만 사용
- 양치 후 혀도 부드럽게 닦아 구강 내 세균 감소
✅ 잇몸 건강에 좋은 음식
- 딸기, 키위: 비타민C가 풍부해 잇몸 혈관 건강 강화
- 연어, 호두: 오메가-3 지방산이 잇몸 염증 완화에 도움
- 녹황색 채소: 칼슘과 마그네슘으로 치아와 잇몸 강화
- 녹차: 폴리페놀 성분이 항염작용
⚠️ 잘못된 민간요법 주의!



- 소금물 양치: 염증 초기에 일시적 완화는 가능하나, 잦은 사용은 오히려 구강 점막 자극
- 식초 가글: 산성으로 치아 에나멜을 손상할 수 있어 금지
📢 결론



잇몸이 붓고 아플 때는 초기엔 올바른 칫솔질과 생활습관 교정, 구강청결로 개선될 수 있지만, 심해질 경우 병원에서 스케일링, 잇몸치료, 항생제 처방 등이 필요합니다. 증상이 심하거나 장기화되면 치주질환으로 진행될 수 있으니 전문의 상담을 받으시길 권장합니다. 평소 철저한 구강 관리로 잇몸 건강을 지키세요!
반응형