반응형
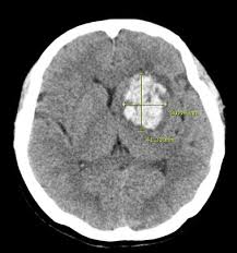
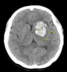
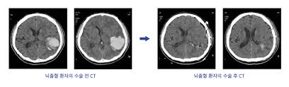
뇌출혈 수술은 뇌혈관이 파열돼 뇌 안에 피가 고인 상태를 제거하거나 압박을 완화하는 수술로, 이후 **의식회복 여부는 환자 예후를 결정하는 핵심 요소**입니다. 회복은 개인의 상태, 출혈 부위와 범위, 나이, 기저질환 등에 따라 크게 차이가 있으며, 적절한 치료와 재활, 가족의 지지가 매우 중요합니다.
1. 의식회복의 의미



- 의식이란 깨어서 주변을 인식하고 의사소통하거나 명령에 반응할 수 있는 상태를 의미합니다.
- 뇌출혈 후 의식저하는 뇌압 상승, 뇌 손상, 뇌부종 등으로 발생합니다.
- 수술 후 의식회복 여부는 뇌 기능이 어느 정도 유지됐는지 확인하는 가장 중요한 지표입니다.
2. 의식회복 과정은?



- 급성기(수술 후 1~7일): 뇌압을 낮추는 치료와 부종 조절이 핵심이며, 의식이 불규칙적으로 돌아올 수 있음 .
- 아급성기(2~4주): 서서히 눈 뜨기, 주변 소리에 반응, 간단한 명령 수행 등 단계적 회복이 가능
- 만성기(1개월 이후): 의식이 회복되면 집중력·언어·운동능력 재활이 진행되며, 의식이 지속적으로 없으면 식물상태로 진행할 수 있음
3. 예후에 영향을 주는 요인



- 출혈의 크기와 위치: 뇌간·기저핵 출혈은 의식회복 가능성이 낮음
- 수술 전 글래스고 혼수척도(GCS): 점수가 낮을수록 회복 예후 불량
- 나이: 고령일수록 회복 속도와 가능성이 떨어짐
- 전신 상태: 고혈압, 당뇨, 심장질환 등 동반질환 유무
- 적절한 재활 치료와 가족 지지 여부 .
4. 의식회복 징후



- 눈을 자발적으로 뜨거나 명령에 따라 눈을 뜸
- 소리에 반응하거나 이름을 부르면 고개를 돌림
- 간단한 명령에 따라 손가락을 움직이거나 손을 잡음
- 표정 변화, 울음·웃음 등 감정 표현
5. 수술 후 합병증에 따른 의식회복 지연



- 뇌부종 지속: 뇌압 상승으로 회복이 늦어질 수 있음
- 저산소증: 수술 전후 저혈압, 호흡부전이 동반되면 뇌 손상이 심해짐
- 감염: 폐렴, 요로감염 등으로 전신상태 악화 시 의식저하 지속 가능 .
- 발작: 뇌손상 부위에서 경련 발생 시 뇌 기능 회복 방해
6. 의식회복 후 재활 중요성



- 의식이 돌아오면 즉시 재활의학과 전문의와 협의해 물리·작업·언어치료 시작이 권고됩니다.
- 빠른 재활 시작은 근위축·관절구축 방지, 뇌 가소성(회복능력) 증진에 도움이 됩니다.
- 인지재활을 통해 기억력, 집중력, 판단력 등을 훈련해야 일상생활 복귀 가능성을 높일 수 있습니다 .
7. 보호자가 알아야 할 관리법



- 규칙적 자세 변경으로 욕창 예방
- 기도 관리: 가래 배출 어려울 땐 석션 필요
- 수분·영양 공급: 경관식이나 비위관 영양 시 구강청결 필수
- 적절한 자극: 이름 부르기, 음악 들려주기, 촉각 자극으로 뇌 기능 자극
- 감염 예방: 손 위생, 위생용품 청결 유지
8. 의식회복 후 기대할 수 있는 회복 단계



- 집중 치료기(1~3개월): 기초 의사소통, 움직임 회복
- 회복기(3~6개월): 보행훈련, 일상동작 연습
- 장기 관리기(6개월~1년 이상): 사회 복귀 가능성 평가 및 유지 재활
📌 핵심 요약
- 뇌출혈 수술 후 의식회복은 예후의 핵심 지표로, 출혈 위치, 범위, 나이, 기저질환 등에 따라 회복 속도가 달라집니다.
- 눈 뜨기, 소리에 반응, 명령 수행 등 단계적 회복 징후가 중요합니다.
- 재활치료는 빠를수록 좋으며, 집중 재활로 일상복귀 가능성을 높일 수 있습니다.
- 가족의 지속적인 관심과 감염·욕창 예방, 구강관리 등 철저한 간호가 필요합니다.
반응형