반응형
관상동맥 석회화(CAC)는 심장에 혈액을 공급하는 관상동맥에 칼슘이 쌓이는 현상으로, 동맥경화의 지표이자 심혈관질환 위험 신호입니다. 초기에는 증상이 없지만, 진행되면 협심증, 심근경색, 심부전 등으로 이어질 수 있어 조기 진단과 관리가 중요합니다.
1. 관상동맥 석회화란?



- 관상동맥 벽에 지방질 플라크와 함께 칼슘이 쌓여 혈관이 딱딱하고 좁아지는 상태입니다 :contentReference[oaicite:1]{index=1}.
- 칼슘 침착은 주로 플라크의 5년 이상 축적 결과 나타나며, 동맥경화 진행 정도를 반영합니다 :contentReference[oaicite:2]{index=2}.
- 노년층(남성 70세 이상 90%, 여성 67%)에 흔히 나타나며, 당뇨·고혈압·이상지질혈증·만성신질환·흡연 등 위험 요인과 밀접합니다 :contentReference[oaicite:3]{index=3}.
2. 증상 및 문제점



- 석회화 자체는 무증상이나, **동맥경화와 협심증, 심근경색 등의 발생 위험을 높입니다** :contentReference[oaicite:4]{index=4}.
- 혈관 내벽이 딱딱해지면 혈류가 줄어들고, 운동·스트레스 시 흉통, 호흡곤란 등의 협심증 증상이 나타날 수 있습니다 :contentReference[oaicite:5]{index=5}.
3. 진단 방법 – CAC 스코어



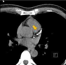
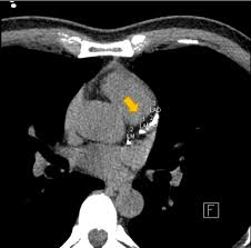
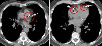
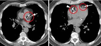
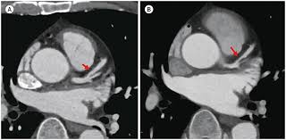
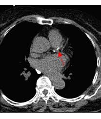
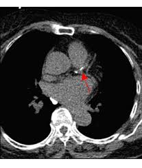
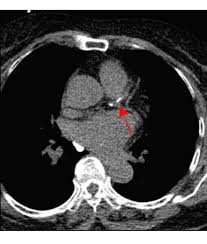
- 비침습적 **관상동맥 칼슘 스캔(칼슘 스코어 CT)**로 Agatston score 산출 :contentReference[oaicite:6]{index=6}.
- 0 = 이상 없음, 1–99 = 경증, 100–399 = 중등도, ≥400 = 중증으로 분류되며, 점수가 높을수록 심혈관 위험이 증가합니다 :contentReference[oaicite:7]{index=7}.
- 중등도 이상일 경우 관상동맥 협착 위험이 높으며, 추가 정밀검사 및 적극 치료가 필요합니다 :contentReference[oaicite:8]{index=8}.
- CT 스캔은 빠르고(약 15분), 고해상도이며, 진단·예후 판단에 유용합니다 :contentReference[oaicite:9]{index=9}.
4. 진행 원인과 위험 요인



- 동맥내벽 손상 및 염증 → LDL 침착 후 macrophage 작용으로 칼슘 침착 촉진 :contentReference[oaicite:10]{index=10}.
- 연령↑, 남성, 흡연, 고혈압, 당뇨, 고지혈증, 비만, 만성신질환이 주요 위험 인자입니다 :contentReference[oaicite:11]{index=11}.
- 약물이나 과도한 운동, 비타민 D 과다 보충도 영향을 줄 수 있다는 연구도 있으나 대부분은 생활습관 요인이 핵심입니다 :contentReference[oaicite:12]{index=12}.
5. 관리 및 치료 전략



- 생활습관 개선: 금연, 체중 유지, 식이(저지방·채소 위주), 운동, 혈압·혈당·콜레스테롤 조절 :contentReference[oaicite:13]{index=13}.
- 약물치료: 스타틴 → 플라크 안정 및 진행 지연, 항혈소판제(aspirin) → 혈전 예방 :contentReference[oaicite:14]{index=14}.
- 정밀 수술적 치료: 중증 석회화 시 PCI(풍선·스텐트), IVL (intravascular lithotripsy), 관상동맥우회술 고려 :contentReference[oaicite:15]{index=15}.
6. 예후 및 합병증



- 석회화 지수가 높을수록 **심근경색·뇌졸중·심부전 위험↑** :contentReference[oaicite:16]{index=16}.
- 스타틴, 혈압·당 조절, 금연 등의 개입으로 진행 지연 및 심혈관 사건 감소가 가능 :contentReference[oaicite:17]{index=17}.
- 운동과 식이 개선만으로도 예방 효과가 있으며, 비만·흡연자에서 특히 효과적입니다 :contentReference[oaicite:18]{index=18}.
7. 응급 판단 기준



- 갑작스러운 흉통·호흡곤란·어깨·팔·턱 통증 등은 **즉각 병원으로**.
- CAC 중증 + 동반 협심증 증상 → 응급 협착 해소 및 PCI·CABG 필요.
8. 자가 체크리스트



- 50세 이상 또는 심혈관 위험 요인(흡연, 가족력, 당뇨, 고혈압, 고지혈증 등) 보유.
- 증상 여부와 상관없이 예방적 CAC 스캔 고려.
- Agatston score 확인 → 전문의 상담 및 치료 계획 수립.
- 생활·약물 요인 조절 및 주기적 추적 (3–5년 단위).
📌 핵심 요약
- 관상동맥 석회화는 동맥경화 및 심혈관질환 위험의 중요한 영상 지표입니다.
- 무증상이더라도 스코어(Agatston score)로 조기 진단이 가능하며, 높은 경우 적극적 개입 필요.
- 금연·건강한 식사·운동·약물 조절로 진행 지연 및 사건 발생 감소가 가능합니다.
- 중증 석회화 환자는 PCI, IVL, CABG 등 전문 심혈관 치료를 고려해야 합니다.
반응형