반응형
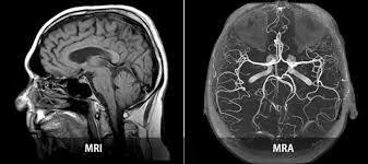
MRA는 MRI 기술을 기반으로 하며, **혈관만을 대상으로 하는 특수 영상검사**입니다. MRI는 인체 내부 **연부조직, 장기, 뼈, 근육, 신경** 구조를 정밀하게 촬영하는 데 유용합니다. 아래에서 두 검사의 정의, 원리, 장단점, 비용·보험, 추천 상황 등을 자세히 비교해 드립니다.
1. 정의 & 원리



- MRI (자기공명영상): 강한 자기장과 라디오파를 사용해 내부 구조(근육, 뇌, 장기 등)의 단면 영상을 생성합니다. 방사선 노출 없이 해상도가 뛰어나 종양, 염증, 디스크 병변 진단에 탁월합니다 :contentReference[oaicite:1]{index=1}.
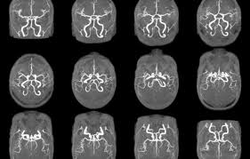
- MRA (자기공명혈관조영술): MRI 원리를 적용해 **혈관 내부 구조와 혈류 흐름**을 3D 영상으로 확인하는 검사입니다. 동맥류, 혈관 협착·폐쇄·혈전 등의 진단에 사용됩니다 :contentReference[oaicite:2]{index=2}.
2. 검사 대상 & 용도
| 검사 | 주 대상 | 대표 질환 |
|---|---|---|
| MRI | 연부조직, 장기, 신경, 근육 | 종양, 관절염, 디스크, 뇌출혈, 신경병변 |
| MRA | 혈관(동맥·정맥) | 뇌혈관 질환, 동맥류, 혈관 협착·폐쇄, 혈전 |
즉, MRI는 **조직 중심** 진단, MRA는 **혈관 상태와 혈류 흐름**을 중점으로 합니다 :contentReference[oaicite:3]{index=3}.
3. 촬영 방식: 조영제 사용 여부



- MRI는 조영제 사용이 선택적이며, 필요 시만 주입.
- MRA는 혈관 가시화를 위해 **주로 조영제(가돌리늄 계열)**를 사용하지만, **비조영 투영기법**(Time-of-Flight, Phase Contrast 등)도 많습니다 :contentReference[oaicite:4]{index=4}.
4. 검사 시간 및 장비



- 두 검사 모두 MRI 장비로 촬영하며, 검사대에 눕고 튜브 내부로 들어가는 방식은 동일합니다.
- 시간은 MRI 약 15~40분, MRA는 조영제 주입 시 약 10~20분 정도 추가 소요됩니다 :contentReference[oaicite:5]{index=5}.
5. 검사 비용 & 보험 적용



- MRI
- 비급여 시: 약 50만~150만 원
- 건강보험 적용 시: 약 10만~30만 원 (뇌졸중, 종양 등 기왕력·소견 필요) :contentReference[oaicite:6]{index=6}.
- MRA
- 비급여 시: 약 80만~200만 원
- 건강보험 적용 시: 약 15만~50만 원 (주로 소견 기반) :contentReference[oaicite:7]{index=7}.
6. 장점 & 단점 비교



- MRI 장점: 고해상도 연부조직·조직 구조 영상, 다양한 신경·관절 질환 진단에 유리 :contentReference[oaicite:8]{index=8}.
- MRI 단점: 혈관 병변 진단에는 한계
- MRA 장점: 혈관 질환(협착, 동맥류 등) 진단에 특화, **비침습적이고 방사선 노출 없음** :contentReference[oaicite:9]{index=9}.
- MRA 단점: 전체 장기 구조는 약하게 보임, 일부 조영제 부작용 위험 존재
7. 검사 시 주의사항



- 금속/전자 장치(심박조율기, 임플란트 등) 착용 시 위험 가능.
- 폐소공포증 환자는 개방형 MRI 선호.
- 조영제 allergy, 신장기능 저하 시에는 **비조영 MRA**나 대체 검사 필요 :contentReference[oaicite:10]{index=10}.
8. 어떤 검사를 언제 선택할까?



- **두통, 뇌종양, 디스크, 관절 통증, 근육·인대 손상**: → MRI
- **뇌졸중, 뇌동맥류, 경동맥 협착, 하지 혈관 이상**: → MRA
- 구체적 예:
- 심한 두통 + MRI→ 종양/출혈 진단 + 필요 시 MRA 병행
- 뇌졸중 후 혈관 평가 위해 MRI+MRA 패키지 검사 자주 시행 :contentReference[oaicite:11]{index=11}.
9. 자주 묻는 질문(FAQ)



- Q: 둘 다 촬영해도 되나요? A: 네, 같은 세션에 MRI와 MRA를 함께 진행해 **조직+혈관** 진단 모두 가능.
- Q: 방사선 노출은? A: 두 검사 모두 **방사선 노출 없음**.
- Q: 귀 안 울리고 괴롭지 않나요? A: 큰 기계 소음이 있지만 **귀마개 제공**, 편안한 촬영 환경 조성합니다.
📌 핵심 요약
- MRI는 **조직·장기 진단**, MRA는 **혈관·혈류 진단**으로 목적이 다릅니다.
- 조영제 사용 여부 및 비용·보험 적용이 달라집니다.
- 증상·진단 목적에 따라 단독/병행 검사 선택이 중요합니다.
- 금속, 조영제 알레르기, 폐소공포증 등의 개인 상황도 고려하세요.
반응형